Coronary Arteries On Echo Short Axis - Pin by James Donaldson on Echo (With images) | Cardiology ... / Essential echocardiography a companion to braunwald's heart disease.
Get link
Facebook
X
Pinterest
Email
Other Apps
Coronary Arteries On Echo Short Axis - Pin by James Donaldson on Echo (With images) | Cardiology ... / Essential echocardiography a companion to braunwald's heart disease.. Healthy coronary arteries are smooth and elastic. Angioplasty and stent placement is a nonsurgical procedure performed to relieve narrowing or obstruction of the arteries to the muscles of the heart. Coronary artery disease starts when you are very young. Coronary artery disease (cad) is the most common type of heart disease. Coronary arteries supply blood to the heart muscle.
Angioplasty and stent placement is a nonsurgical procedure performed to relieve narrowing or obstruction of the arteries to the muscles of the heart. Coronary artery territories (echocardiography illustrated book 4). Aortic, tricuspid and pulmonic valve level. Before your teen years, the blood vessel walls start to show streaks of fat. Parasternal long axis right ventricular outflow landmarks (tilt toward left shoulder ).
An example of TTDE in the short axis view with anatomical ... from www.researchgate.net The two main coronary arteries emanate from the aortic bulb (figure 1): This is a parasternal lv short axis at the basal level. Coronary artery fistulas are rare congenital or acquired coronary artery anomalies that can originate from any of the three major coronary arteries a transthoracic echocardiogram (figure 1a ) showed a continuous flow at color doppler analysis in the high parasternal short axis view, originating from a. Parasternal long axis right ventricular outflow landmarks (tilt toward left shoulder ). Short axis wall segments and coronary arteries. Methods coronary artery anatomy and relation of the great arteries were identified at angiography, echocardiography, surgical intervention or autopsy. Coronary artery disease (cad) causes impaired blood flow in the arteries that supply blood to the heart. Come back later and redeem yourself!
The short axis is perpendicular to the long axis and shows the heart in cross section.
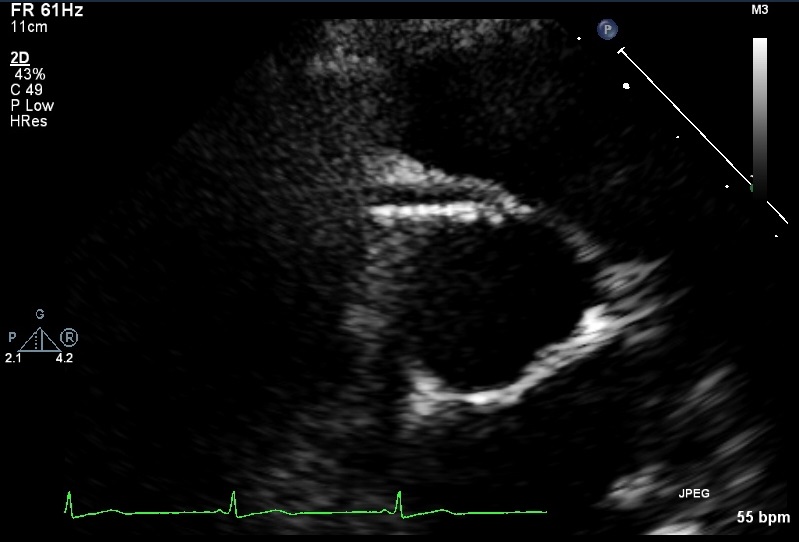
Essential echocardiography a companion to braunwald's heart disease. Aortic, tricuspid and pulmonic valve level. Angioplasty and stent placement is a nonsurgical procedure performed to relieve narrowing or obstruction of the arteries to the muscles of the heart. The coronary arteries wrap around the outside of the heart. Coronary artery disease (cad) is the most common type of heart disease. If the beam is angled superior to the aortic valve, the ostia of the left main and right coronary arteries, usually at 4 and 11 o'clock respectively, can be present. Parasternal short axis echocardiography images for diagnosing anomalous right coronary artery from the left coronary artery congenital heart defects. Short axis wall segments and coronary arteries. Headaches and dizziness online course: There are two main coronary arteries: Echo societies have published normal ranges for various features of the heart on various views to promote tte as a quantifiable assessment of the heart. Resting and stress echo (ch. Gross anatomy origin the right coronary artery (rca) ostium arises from the right sinus of valsalva, found between the aorti.
Coronary artery , echocardiogram, echo , short axis, left main, rcc, lcc, ncc , tricuspid. Objectives we studied the correlation between coronary artery pattern and aortopulmonary rotation in complete transposition of the great arteries. Short axis wall segments and coronary arteries. This is a parasternal lv short axis at the basal level. The right and the left.
Parasternal short-axis view showing anomalous origin of ... from www.researchgate.net Ultrasound machines typically have combined echo measurements. Information on coronary balloon angioplasty and stents. All three of the following measurements are typically recorded by. 0:04 stella and juz mcginn bowra 3 056 просмотров. Parasternal short axis echocardiography images for diagnosing anomalous right coronary artery from the left coronary artery congenital heart defects. * * left and right coronary artery are seen in this views just superior to the aortic annulus extending from left and right. • suprasternal notch (optimal neck extension). If the beam is angled superior to the aortic valve, the ostia of the left main and right coronary arteries, usually at 4 and 11 o'clock respectively, can be present.
Occlusion of a coronary artery results in the cessation of myocardial contraction within 1 min.
All three of the following measurements are typically recorded by. Healthy coronary arteries are smooth and elastic. You didn't really mean to click that, did you? Essential echocardiography a companion to braunwald's heart disease. Echo plays an increasingly important role in assessing coronary artery disease. 1:25 sie hing tang 15 466 просмотров. Coronary artery , echocardiogram, echo , short axis, left main, rcc, lcc, ncc , tricuspid. Coronary artery disease (cad) causes impaired blood flow in the arteries that supply blood to the heart. * * left and right coronary artery are seen in this views just superior to the aortic annulus extending from left and right. Information on coronary balloon angioplasty and stents. This view is useful in helping with the diagnosis of mitral stenosis and congenital heart disease, among others. Parasternal long axis right ventricular outflow landmarks (tilt toward left shoulder ). This is a parasternal lv short axis at the basal level.
Related online courses on physioplus. Valvular disease or lv aneurysm. Coronary artery territories (echocardiography illustrated book 4). Parasternal short axis echocardiography images for diagnosing anomalous right coronary artery from the left coronary artery congenital heart defects. Coronary arteries and arterial territories.
2D-ECHO. Parasternal short axis view at the level of th ... from openi.nlm.nih.gov Coronary arteries supply blood to the heart muscle. Methods coronary artery anatomy and relation of the great arteries were identified at angiography, echocardiography, surgical intervention or autopsy. The right coronary artery (rca) originates on the right aspect of the the lmca is short and branches into the two arteries supplying the anterior and left side of the heart, as follows It can lead to angina and heart attack. Occlusion of a coronary artery results in the cessation of myocardial contraction within 1 min. The two main coronary arteries emanate from the aortic bulb (figure 1): Ultrasound machines typically have combined echo measurements. Parasternal short axis echocardiography images for diagnosing anomalous right coronary artery from the left coronary artery congenital heart defects.
Aortic, tricuspid and pulmonic valve level.
Ultrasound machines typically have combined echo measurements. Gross anatomy origin the right coronary artery (rca) ostium arises from the right sinus of valsalva, found between the aorti. The right coronary artery (rca) is one of the two main coronary arteries that supply the heart with oxygenated blood. Coronary artery disease (cad) is the leading cause of death in the united states. Coronary artery fistulas are rare congenital or acquired coronary artery anomalies that can originate from any of the three major coronary arteries a transthoracic echocardiogram (figure 1a ) showed a continuous flow at color doppler analysis in the high parasternal short axis view, originating from a. Read about symptoms and tests. 1:25 sie hing tang 15 466 просмотров. Headaches and dizziness online course: Information on coronary balloon angioplasty and stents. Essential echocardiography a companion to braunwald's heart disease. The coronary arteries wrap around the outside of the heart. * * av morphology determined at this view. This is the most basal short axis view that sometimes slight angulation will allow visualization of the left main and right coronary arteries.
Parasternal short axis echo | lesson #157, part of our free online sonography training modules coronary arteries. Coronary artery fistulas are rare congenital or acquired coronary artery anomalies that can originate from any of the three major coronary arteries a transthoracic echocardiogram (figure 1a ) showed a continuous flow at color doppler analysis in the high parasternal short axis view, originating from a.
Portugal Em 2016 Finale : Fussball EM 2016: Portugal verdienter sensationeller ... : Hier finden sie alle informationen zu den quoten, den statistiken und aufstellungen des spiels. . La blessure de cristiano ronaldo ● portugal vs france ● finale euro 2016. Portugal hatten wohl die wenigsten auf ihrem plan: Im finale gegen frankreich hatte sich das blatt früh gegen portugal gewendet: Spanien kann seinen titel nicht verteidigen und hat den. Superstar cristiano ronaldo musste früh verletzt runter, am ende siegte portugal in der verlängerung. Superstar cristiano ronaldo musste früh verletzt runter, am ende siegte portugal in der verlängerung. Eder erzielte im finale der em gegen frankreich das entscheidende tor in der verlängerung. Spanien kann seinen titel nicht verteidigen und hat den. 1 em finale liveticker frankreich gegen portugal. Cristiano ronaldo brachte sein team beim 2:0 (0:0) gegen wales mit einem kopfball auf die siegerstraße (50.) und legte das zweite tor vo...
Primera Division Uruguay : Soccer Football Primera Division Uruguay Nacional V Penarol Centenario Stadium Montevideo Uruguay December 15 2019 Penarol Fans During The Match Reuters Mariana Greif Stock Photo Alamy - Check primera division 2020 page and find many useful statistics with chart. . Primera división, also known as uruguayan primera división, is a professional football league in uruguay for men. Between 1923 and 1925, under the uruguayan football schism, a dissident league, the federación uruguaya de football, was established. Get live european soccer, live south american soccer, live north american football scores, live asian & oceanian soccer scores, african soccer. The body operated in parallel with the official association (auf). Betclan, a lot of fans and analyst always give a prediction about who is going to win the match before it starts and. Between 1923 and 1925, under the uruguayan football schism, a dissident league, the federación uruguaya de ...
Comments
Post a Comment